Medical Malpractice Insurance for orthopaedic surgeons
Home » Arthritis » Osteoarthritis

Osteoarthritis

Discussion

Osteoarthritis of the Knee

Osteoarthritis of the Knee »

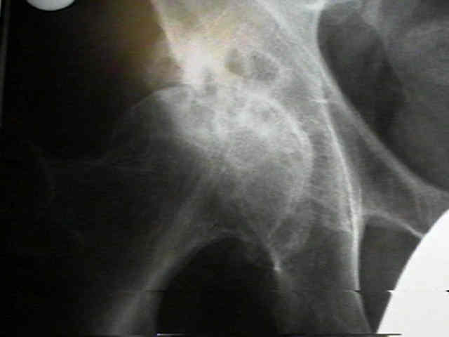
Hip Osteoarthritis

clinical features

Hip Osteoarthritis 2

  • pain on wt-bearing felt in the groin, buttock, or medial thigh;
  • trendelenburg gait will decrease mechanical stress on joint and thereby lessen pain (see forces acting on hip joint);
  • pain during sleep results from loss of protective function of muscular splinting;
  • in some cases, a patient w/ OA of the hip will experience acute hip pain which often correlates w/rupture of subcondral cyst into the joint;
  • reference: A Heritable Predisposition to Osteoarthritis of the Hip

treatment options

  • arthrodesis
  • total hip replacement
  • valgus extension osteotomy
    • may be indicated in younger patients with DJD w/ flattened or mushroom shaped head, an osteophyte on the medial side of femoral head,and an osteophyte partially covering the true acetabular floor;
    • technique is less useful for patients with primary hip disease or reduced range of motion;
    • technique considerations:
      • abductor lever arm is maintained by elevation of greater trochanter through the insertionof a portion of wedge taken from osteotomy, as a graft under the greater trochanter;
      • osteotomy shifts the center of the stress medially which improves joint mechanics;
      • extension of the femoral head, recenters the head, and prevents anterior subluxation;
      • anterior capsule is opened using the lateral approach;
      • guide wires are inserted to help determine the proper bone cuts;
      • proximal osteotomy is made 2 cm distal to the entry side for the blade plate;
    • reference: Proximal femoral osteotomy as the primary operation for young adults who have osteoarthrosis of the hip.

Ankle:

Shoulder

Fingers and Hand (see also: CMC arthritis)

  • occurs most often in fifth or sixth decade of life;
  • gradual onset of pain in the distal interphalangeal (DIP) joints;
  • aggravating nocturnal fingertip pain and paresthesias may develop;
  • Heberden's nodes:
    • cystic swellings containing gelatinous hyaluronic acid appear on thedorsolateral aspects of DIP joints (see mucous cyst);
  • metacarpophalangeal (MCP) joints are typically spared

References

Hip Osteoarthritis 1