(see also: Bone Tumor Menu)
Discussion
- myeloma is malignant tumor of plasma cells arising from a single clone;
- multiple myeloma accounts for > 40% of primary malignant tumors of bone.
- it is most common malignant primary tumor of bone
- may arise as single intraosseous tumor but more often it develops as multiple painful lesions throughout skeleton (multiple myeloma);
- whether from single or multiple sites, myeloma spreads to involve virtually entire bone marrow which eventually produces death;
prognosis
- eventual prognosis is poor;
- w/ chemotherapy, survival time of 3-5 years is not uncommon;
histology
- normal marrow biopsy may show upto 8 % plasma cells;
- between 10-20 % suggest myeloma;
- greater > 20-30 % plasma cells on bx is diagnostic of myeloma;
- immunohistochemical studies: may reveal lambda light chains or heavy chains and kappa light chains;
Clinical Presentation
- pts present in their middle fifties or older (60-70 yr)
- constitutional symptoms, anemia, thrombocytopenia, and renal failure;
- approx 80% of pts have chief complaint of bone pain w/ diffuse bone tenderness, particularly over the sternum and pelvis.
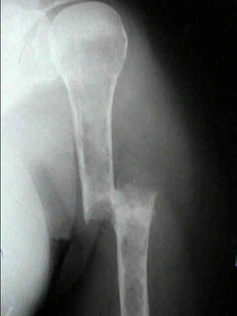
- pathological frx of spine or femur may be heralding event;
- symptoms range in duration from as short as few wks to as long as 2 yrs.
Lab Studies for Multiple Myeloma »
- hypercalcemia may occur in 20-40% of patients;
Radiographic Studies
- standard x-rays may show diffuse osteopenia
- "punched-out lesions" w/ no surrounding new-bone formation;
- over time lesions may change from diffuse osteopenia to more permeative moth-eaten destructive pattern, sometimes w/ cortical expansion;
- bone destruction occurs w/ little or no reactive bone formation unless pathologic frx is present;
- bone scans:
- may or may not appear cold;
- bone-scanning, although likely to show incr activity at site of frx, shows no increase even at site of discrete lesion in 25 % of patients;
- MRI:
- MRI of spine may show evidence of patchy areas, consistent with marrow element disease;
- skeletal survey:
- skeletal survey is the most useful radiographic study to make the diagnosis;
- myeloma may present as solitary lesion or more commonly a diffuse tumor, involving multiple bones, including vertebrae, skull, pelvis and femurs;
- look for one fracture or more in the spine;
- sharply delineated punched-out lesions are seen best in skull;
Treatment
XRT
- myeloma is sensitive to XRT, & reossification of tumor defects may ocurr within several months.
- XRT is recommended for intractable bone pain, esp if pain is localized;
- it can be dramatically effective in relieving symptoms;
Chemo
- when dz is disseminated, chemo is indicated;
- year survival remains under 30%;
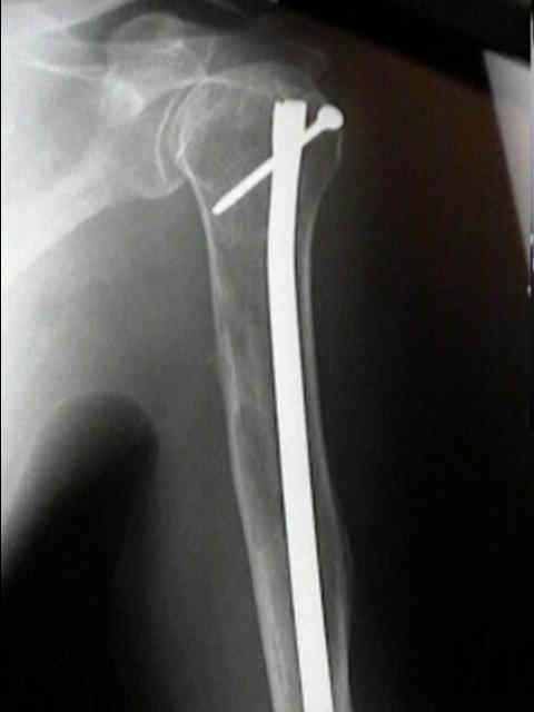
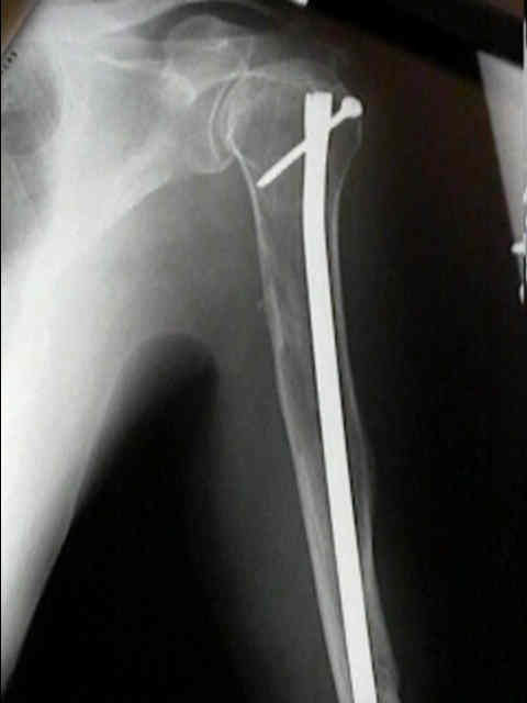
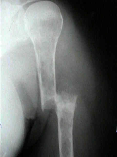
Surgical Fixation
- Treatment of pathologic fracture of the humerus.
- Solitary plasmacytoma of bone and extramedullary plasmacytomas: A clinicopathologic and immunohistochemical study.
- The Role of the Wnt-Signaling Antagonist DKK1 in the Development of Osteolytic Lesions in Multiple Myeloma.
- Single versus Double Autologous Stem-Cell Transplantation for Multiple Myeloma.
- Kyphoplasty Enhances Function and Structural Alignment in Multiple Myeloma.
- Multiple Myeloma




