Medical Malpractice Insurance for orthopaedic surgeons
Home » Bones » Foot » Accessory Navicular

Accessory Navicular

Discussion

  • accessory navicular is an accessory ossicle of the foot which is located on the medial side of foot, proximal to the navicular and in continuity with the tibialis posterior tendon;
    • approximately 2-12% of people may have this ossicle;
  • accessory navicular generally does not ossify until 9 years of age, and in about one half of cases, the accessory navicular will go on to fuse to navicular;
  • a valgus stress injury may fracture the attachment of the ossicle to the navicular resulting in abnormal motion;
  • insertion of major portion of tibialis posterior tendon into accessory bone displaces tendon, allowing foot to deviate into a valgus position;
    • this results in flatfoot w/ prominences of accessory bone& navicular;
  • associated findings:
    • unilateral pes planus
      • note that the accessory navicular is not by itself an inciting cause of the flat foot;
      • may require lateral column lengthening as well as excision of the accessory ossicle and re-insertion of the posterior tibialis;
    • tibialis posterior tendonitis
  • diff dx: Kohler's disease

Exam

  • evaluate for tenderness over prominence;
    • be careful to evaluate for tenderness directly over the prominence of the navicular, since there are several other reasons to have pain on the medial side of the foot (rupture of the TP tendon, enthesiopathy at the insertion of the tibialis anterior,navicular stress frx, etc);
  • evaluate subtalar motion;

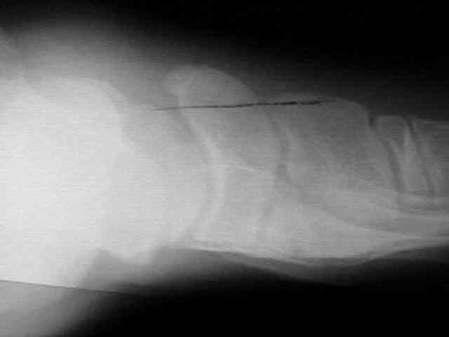
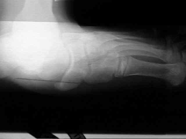
Radiographs

  • radiographs may not be helpful if the accessory ossification is not ossified;
  • the standard oblique of the foot (medial internal oblique view) will not show the accessory ossicle in profile;
  • the lateral (external) oblique view is the radiograph of choice;
  • although accessory navicular appears distinct from the navicular on x-rays, it is actually attached by fibrous tissue or cartilage;
  • bone scan:
    • if an accessory navicular is present but it is unclear whether it is causing symptoms, then a bone scan is indicated;

Accessory Navicular 2 Accessory Navicular 3 Accessory Navicular 4

 

 

 

 

Non Operative Treatment

  • asymptomatic flat foot w/ an accessory navicular is not indication for surgery;
  • doughnut shaped piece of mole skin on skin & around prominence will relieve pain and tenderness over the prominence;
  • also consider cast immobilization for 6 weeks;
  • an extended orthotic device that shields the prominence may also be helpful;

Operative Treatment

  • Kidner operation is used to remove prominence of accessory navicular;
    • involves excision of accessory navicular and re-insertion of tibialis posterior;
    • this operation is not expected to improve a fallen arch (which probably will require lateral column lengthening;
  • incision is placed on medial side of foot, dorsal to prominence of navicular and extends from 1st cuneiform to sustentaculum tali;
    • painful scar may result if incision is placed over the prominence;
  • tibialis posterior tendon is identified and is followed to the navicular;
    • the tendon is stripped away from the accessory navicular, leaving a wafer of bone attached to the tendon;
  • entire accessory navicular and the prominent portion of the navicular are removed so that no prominence remains on medial side of the foot;
  • tibialis posterior tendon is attached to plantar surface of navicular by suturing remaining wafer of bone to undersurface of the navicular, w/ part of the forefoot in inversion;
  • suture technique:
    • the way to suture it to the undersurface is by drilling 2 holes (2 mm drill) from dorsal aspect of navicular to the plantar aspect and using a suture retriever to pull the sutures through, making a knot dorsally over the bony bridge (alternative: bone anchoring sutures: Harpoon or Mitek anchor)

References

Accessory 3Accessory 4Accessory 14Accessory 15Accessory 16Accessory 17